045-584-7777
椎間板ヘルニアとは

犬の椎間板ヘルニア(IVDD/IVDE)について
椎間板ヘルニアとは?
犬の背骨は、小さな骨(椎骨)が積み木のように連なってできています。その椎骨の間には「椎間板」と呼ばれるクッションがあり、背骨にかかる衝撃を吸収したり、柔軟な動きを可能にしています。
しかし、この椎間板が変性して中身が飛び出し、脊髄(背骨の中を通る神経の束)を圧迫してしまう病気が「椎間板ヘルニア」です。医学的には 椎間板変性疾患(IVDD) と呼ばれ、そのうち 椎間板が飛び出して神経を圧迫する病態を IVDE(extrusion) といいます。
この病気は、特に ダックスフンド、フレンチブルドッグ、ビーグル、コーギー など、軟骨異栄養犬種(chondrodystrophic breeds)でよく見られます。また、中高齢での発症も多いですが、若齢でも起こることがあります。
椎間板ヘルニアの症状
症状は、脊髄の圧迫の程度や部位によって異なります。一般的に以下のような段階で進行します。
- 初期症状:背中や首を触ると痛がる、動きたがらない、震える
- 中等度:足取りがふらつく、よろめく、段差を嫌がる
- 重度:自力で立てない、引きずるように歩く、排尿・排便のコントロールが難しい
- 最重度:足の感覚(深部痛覚)がなくなる、完全麻痺
症状が急に悪化することもあり、「昨日までは普通に歩いていたのに、今朝急に立てなくなった」といったケースもあります。
椎間板ヘルニアのグレード分類
国際的に用いられている 神経学的グレード分類 は以下の通りです。
- グレード1:痛みのみ、歩行は可能
- グレード2:軽度の運動失調(ふらつき)、足の動きがぎこちない
- グレード3:立てるが自力歩行ができない、または補助が必要
- グレード4:完全麻痺(自力で立てないが、足先の深部痛覚は残っている)
- グレード5:深部痛覚の消失(最重度)
この分類によって、治療法や予後(回復率)の目安が決まります。
治療法と回復率の目安
グレード1(痛みのみ)
- 治療法:内科治療(安静、消炎鎮痛薬、神経保護薬)、レーザーやリハビリも補助的に使用
- 回復率:非常に高い(多くが改善)
- 注意点:再発しやすいため、生活習慣の見直し(段差回避、体重管理)が重要
グレード2(軽度のふらつき)
- 治療法:内科治療が中心。ただし再発や進行リスクが高い場合は外科を検討
- 回復率:内科でも改善するが、手術を行った場合の再発率は低下
- 注意点:発症から治療までが早いほど予後良好
グレード3(中等度麻痺)
- 治療法:外科手術が推奨(椎間板除去術、椎弓切除術など)
- 回復率:手術により 90%前後で歩行回復
- 注意点:内科のみでは改善が難しいケースも多い
グレード4(重度麻痺・深部痛覚あり)
- 治療法:外科手術が第一選択
- 回復率:70~90%程度 で歩行回復が期待できる
- 注意点:治療の遅れで予後が悪化するため、迅速な手術が重要
グレード5(最重度:深部痛覚なし)
- 治療法:外科手術
- 回復率:30~60%程度(完全に回復しないケースも多い)
- 注意点:発症から48時間以内の手術で予後改善が期待できるが、長時間経過すると回復は難しい
診断方法
- 神経学的検査:歩行や反射の評価でグレードを判定
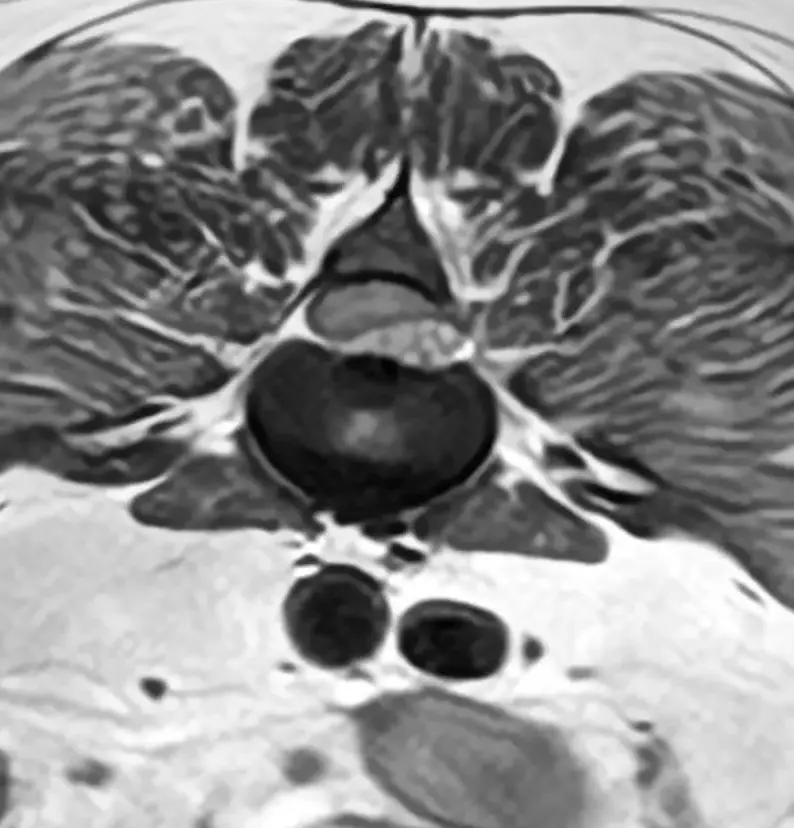
- 画像診断:
- MRI:最も確実。脊髄圧迫の程度と部位を確認
- CT:骨や椎間板の突出部位を確認
- 脊髄造影:古くからの方法だが、MRIの方が一般的になりつつある
※CT検査だけでは圧迫部位の予測はついても脊髄の状態がわからないため、明らかな場合以外は単独で診断に用いることはありません。CT、MRI両方撮像できれば理想ですが、費用がネックです。
MRI検査で13~15万円くらい、CT検査も10万円近くします。

外科手術について
最も一般的な手術は「片側椎弓切除術(hemilaminectomy)」です。背骨の一部を削り、飛び出した椎間板物質を除去します。
手術は全身麻酔下で行われ、1〜2時間かかる場合もあります。
当院での費用は入院、手術費を含めて30万円〜35万円です(追加検査、合併症により変動あり)
手術後の管理
- 数日間の入院が必要
- 尿道カテーテル管理や排尿補助
- 痛み止め投与
- リハビリ開始(受動運動、マッサージ、ハーネス歩行訓練など)
リハビリと予後
リハビリは回復に非常に重要です。
- 初期:受動的関節運動(足をゆっくり動かす)
- 中期:水中トレッドミル、補助歩行
- 後期:筋力トレーニング、散歩再開
グレード3~4の犬は、手術+リハビリで多くが3~6週間以内に歩行を再獲得します。
グレード5の場合は回復に数か月かかることもあります。
再発と予防
椎間板ヘルニアは再発の可能性があり、20~30%程度の犬で他の部位に新たに発症することがあります。
予防のためにできること
- 体重管理(肥満はリスク大)
- 段差を避ける(階段、ソファの上り下りを制限)
- 過度なジャンプ運動を控える
- コルセットの装着(背骨の動きを抑える)
飼い主さまへ
椎間板ヘルニアは、早期発見・早期治療が回復率を大きく左右する病気です。
「少し歩き方がおかしい」「急に痛がる」「立てなくなった」などの症状が見られたら、できるだけ早く動物病院にご相談ください。最初は軽症に見えても、日に日に悪化してしまうこともあります。
外部医療機関でMRIを撮像してきてもらい、その画像を元に外科手術を計画します。
重症度が高いほど早期の手術が推奨されており、大学病院などでは時間がかかりすぎてしまう場合でも当院では早急に手術対応いたします。
飼い主さまと大切なご家族であるワンちゃんにとって、最適な治療方針をご提案いたします。
